WEB金蘭会

金蘭会セミナー


第103回
平成18年11月17日(金)
演題
食欲の秋に歯の話 〜一本の歯を守るために〜
講師
吉田春陽氏(昭和42年卒)
吉田歯科医院 院長

吉田春陽(よしだ はるひ)氏 プロフィール

昭和42年 大手前高校卒業
昭和50年 阪大歯学部卒業
昭和55年 現在地(守口市)にて開業
平成 1年 守口市歯科医師会副会長
平成12年 守口市歯科医師会顧問
平成13年 合唱団OEC(大手前高校音楽部OBが中心)指導者
平成18年 金蘭会理事






































第103回セミナー「食欲の秋に歯の話」を聞いて

 
ソフトなスマイル、穏やかなお話し方、其の上オーケストラを指揮なさる素敵な紳士。 歯医者さんと言うと、取り敢えず肩に力が入ってしまうという人が多いと思いますが、 吉田先生の前に座ると、何だかホットして緊張が取れると言う雰囲気の先生のお話から・・・

最近の損傷歯の修復技術の高度さ、咀嚼・大声で笑う・歌う・お喋り等が脳の血流量が増加する事等、私達中高年者にとって、心得ておきたい事を学びました。 これからは、もっともっと有意義な?お喋りしようっと!! はた迷惑?

「損傷歯の破片は、即(成るべく早く)牛乳に浸す。歯根膜が乾いてしまうと歯は死んでしまう」 等は、子女孫達の為に覚えておくと、万が一の時に、役に立つと思いました。

その他、要介護者の為の口腔ケアのお話など 幅広く症例を挙げてお話くださり、心強く感じました。
「適切な口腔清浄は、内科治療にも匹敵するケアーである」と言うお言葉、正に金言と思いました。

只 中高年者の90パーセントが歯周病の予備軍だと言われている昨今、其れについての お話もお聞きしたかった。

 付記 
歯の磨き方のご指導では、磨き粉無しで、一本一本丁寧にソフトに、柄に鈴を付けて鳴らないように・・・ 
ガシガシ!”音あり”は、もっての他との事です。

(感想  昭和31年卒 小田純子)

......................................................................................................................................................

 レジュメに書き込んだメモより

1.歯無しがボケの原因って本当?

 ・アルツハイマーモデルラットは「無歯顎(歯無し)」
     歯無しはアルツハイマーのリスクファクターになるか。(名古屋大の上田実氏の研究)
     健常者に比べてアルツハイマーの患者に歯の欠損者が多かった。

 ・咀嚼すると脳血流が増加する
     8020…80歳で20本の残存歯数が目標と言われるが、実際は 8004…80歳での残存歯数は4本である。
     目標が達成されればアルツハイマーは激減するだろう。自分の歯でなければならないわけではない。
     義歯を使えばよいのである。日本の入歯の技術は高く、同じものを欧米で入れようとすると
     10倍のコストがかかる。

    「咀嚼すると脳血流が増加する」 かつて東京医科歯科大のグループが実証し、センセーショナルに
     紙面を飾ったが 咀嚼に限らず、おしゃべりをする、歌うなど 顎を動かすことでも血流量は増加する。
     身体を動かすことで体全体の血流が増加し、結果脳の血流も増加する。
     ただ、身体を動かすことができない 寝たきりの方にとっては咀嚼は重要な運動で、
     流動食をやめ、しっかりした姿勢で物を口から食べることで ボケ予防につながる。

     咀嚼と脳血流の関係: 面白い実験がある。1987年大阪府枚方市の幼稚園での咀嚼訓練
     ”硬いかつお”を食事に加えたグループの半年後の知能指数が上がった。
     これも咀嚼と脳血流の関係を示したものと言える。


2.知ってるつもり「歯のけが・口のけが」

    吉田歯科医院を訪れる歯のケガの患者さん(主に小さい子)は1年間に何十人に及ぶ。

 ・折れた歯・抜けた歯がくっつく

    日本は接着剤、オペの技術水準が高い。
    歯は、歯根膜という組織で歯槽骨とつながっており、その組織を壊さなければ
    折れた歯もくっつくし 自分の歯の移植も可能である。

 ・歯のけがは上の前歯に多い

     最近は転んでも手をつかない子が増え、歯のケガも増加している。

 ・歯のけがが起こったら

 ・抜けた歯やかけらを乾燥させない。
  
     溶液もあるが、身近なもので使えるのは牛乳。牛乳に漬けて歯科医に駆けつける。
     30分〜1時間なら大丈夫のようだ。

 ・ 一刻も早く歯医者にみせる

     合成接着剤は日本が世界のトップ。歯のかけらが無い場合はプラスチックで修復。
     何十種類という色の中から合うものを選べる。


3.ためしてガッテン「歯の移植」

     受傷後30分が勝負。牛乳に入れて走る。
     水道水で洗ってはいけない。洗うと歯根膜の細胞がだめになる。

 ・歯根未完成歯の自己歯牙移植

 ・歯根完成歯の自己歯牙移植

     先生のオペを受けた患者さんの治療過程を写真をみながら説明をお聞きする。
     洗浄後冷凍保存し、オペの前に自然解凍でフッ素を塗ってはめ込んだ事例も。

     成長過程の年齢の患者さんには、成長後の状態を予測してオペを行う。
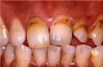
     歯根に埋め込むときの歯の長さを考える。(図1→図2<下記スライド>)

     歯の色が変わってしまった。→漂白。☆今年4月以降は自費治療になった。
     歯の漂白は普通は3回位。事例では8回の漂白できれいになっていた。(図3→図4<下記スライド>)

     骨に穴を開けて移植し、ワイヤーをかけて固定
     →8ヶ月後に移植歯と奥歯を利用してブリッジをかけて治療完了。(図5→図6<下記スライド>)
   

4.視点・論点(おまけ)−口腔ケアの意義を考える−

     「口腔ケア」は今ハヤリの言葉。 訪問ケア。→患者さんが車椅子の場合などしか認められていない。

  @食生活の維持・改善

     おいしく食事を食べるためのケアで、歯科医の基本の医術。

  Aコミュニケーション手段としての言語と表情の確保

     社会的な動物である以上必要。

  B口腔内の保清

     直接命にかかわる。死亡する高齢者の死亡原因の肺炎は
     DNAの分析から「肺炎菌の菌は歯(口腔)の菌が原因だ」と解明された。
     これは、 目からうろこのお話しでした。

 ・ 誤嚥性肺炎の予防

 ・ 要介護者や重症患者の口腔ケア

     口腔ケアによって
     発熱発症率が、半年後から抑制された。(グラフ資料1<下記スライド>)
     肺炎発症率が40%抑制できる。(グラフ資料2<下記スライド>)

     口腔ケアをすることが医療費抑制になる、とWHOの発表。
     肺炎に関わる医療費は年間8000億円。→40%減となる。
     週一回の口腔ケアをするだけで40%の医療費減。

     阪大の外科で食道癌の手術(で有名だったのだが)後 6ヶ月経っても物が食べられない。
     48年卒の舘村 卓氏(たちむら たかし、阪大)のベッドを起こし、口腔ケアを施すと言う
     (“摂食嚥下訓練”と“口腔ケア”)プログラムで患者は食べられるようになり回復。
     このプログラムにより術後の合併症がゼロに。
     消化器外科に歯科が関わり始めてから在院期間が半分になった。

     名古屋大上田実氏
     「適切な口腔ケアは、内科治療にも匹敵する重要なケアである」

 ○質問より 口腔ケアについて

  ■歯ブラシ
     小児用のヘッドくらいでやわらかいもの。歯科医で求めると手に入る。
  ■歯磨き粉
     基本はつけない。長く磨けない、歯の表面を削ってしまうから。
     爽快感のためなら歯磨きの仕上げに少量つける。
     歯磨き粉を付けなければ思いっきり磨いても歯は削れない。
     歯槽膿漏用のものは患者さんには必要。
     ステインをとるならリンゴ酸入りの歯磨き粉は効果あり。
     本当は、月1回のペースで歯石取などに行ければいいのだが…。
  ■磨き方
     歯ブラシの手の先に10センチの糸をつけて その先につるした鈴を鳴らさないように歯磨きをする。
     TVを見ながら30分ほど歯磨きをする。
     誕生日前後に歯科医へ行く習慣をつけよう。年一回のチェックで、健康な歯を保持。
     電動歯ブラシは1分間に2万回の回転、手では1秒間に10回以上振動させるのは無理。
     電動歯ブラシを使う時は、押さえつけない、動かさない、歯磨き粉は絶対につけない。
     専門ツールも使い方が難しい。糸楊枝で歯肉を切ってしまうことも。
     磨き方を教えてもらいに歯科医に行こう!歯磨きの心地よさを体験しよう。

(リポート谷村)

セミナーで使われたスライド画像から

図1:外傷による歯の脱落(術前)

図3:外傷による変色歯(術前)

図5:自家歯牙移植術前

図2:脱落歯再植術後9年半経過した状態

図4:歯牙漂白法術後

図6:自家歯牙移植術後15年経過した状態

 

 

吉田歯科

TEL: 06−6906−5422

 

 

グラフ資料1
グラフ資料2


セミナーレジュメです

ページ作成 S53年卒岸政輝 & S50年卒谷村瑞栄&リポート34年卒町田&カメラ50年卒前渕